20118 N 67th Ave Ste 308

Glendale, AZ 85308

Facing a Dental Emergency in Tempe, AZ?

At Smile Science Dental Spa, we value your well-being and peace of mind. Dr. Dawson and Dr. Turke, our proficient duo, are on standby to address any dental emergencies you might encounter. Equipped with the newest advancements, our Tempe facility promises both efficiency and a calming environment. If dental distress looms, don’t delay; reach out right away or arrange your consultation online.

Offering a streamlined experience, our all-encompassing services mean fewer trips, saving you both time and energy.

Root Canals

Extraction

Wisdom Teeth

Restorations

Dental Emergencies in Tempe, AZ

Dr. Richard Dawson Headshot Photo
Dr. Richard Dawson
Dr. John Turke Headshot Photo
Dr. John Turke

Introducing Our Dentists

Dr. Dawson and Dr. Turke aren’t just seasoned dentists; they’re also your reliable partners in dental emergencies. With a wealth of expertise and a heartfelt dedication to patient care, they’re geared to manage a wide array of dental urgencies. 

Whether you’re grappling with intense tooth pain, a broken tooth, or need immediate extractions, this dynamic pair ensures a holistic approach to your needs. Their extensive know-how in emergency treatments, combined with a range of services from root canals to dental implants, means you’re always in safe hands. 

Lean on their swift and compassionate service when dental challenges arise.

Fast Relief Is Just A Click Away

The Distinctive Smile Science Experience

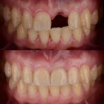
Ceramic Dental Bridge Before and After - Smile Science - Glendale, AZ

Consistent and Trustworthy Care

Our Tempe-based dental squad is primed to address various dental emergencies, ensuring you're never left in a bind.

dental services in glendale az

A Refuge of Comfort

Our Tempe facility exudes a spa-like ambiance, aiming to transform your emergency dental visits into serene experiences.

An elderly male patient giving a thumbs up to the camera while the dentist smiles beside him

Praised and Preferred in Tempe

Our unwavering dedication to top-tier dental services and your overall comfort has placed Smile Science Dental Spa among Tempe's most trusted.

Pay With Dental Insurance

Ameritas Dental Insurance Logo
Cigna Dental Insurance Logo
United Healthcare Dental Insurance Logo
Aetna Dental Insurance Logo
Humana Dental Insurance Logo
MetLife Dental Insurance Logo
Principal Dental Insurance Logo
Careington Dental Insurance Logo
Delta Dental Insurance Logo
Guardian Dental Insurance Logo

Or, Pay With Financing

Sunbit Dental Financing Logo
Wisetack Dental Financing Logo
Momnt Dental Financing Logo
Proceed Finance Dental Financing Logo
Care Credit Dental Financing Logo

Or, Join Our Membership Plan!

Smile Science Basic

Our basic membership plan
$ 199
00
Yearly
  • 20% discount on all services
  • 2 cleanings
  • 2 periodic exams
  • 2 emergency visits
  • Unlimited x-rays
  • Standard Guarantee
  • $99 for each additional family member
Popular

Smile Science Premier

Our premier membership plan
$ 399 Yearly
  • 30% discount on all services
  • Unlimited cleanings
  • Unlimited exams and x-rays
  • Unlimited emergency visits
  • Unlimited x-rays
  • Free in-office whitening
  • Premium Plus Plan
  • Free fluoride
  • Free smile makeover consultation
  • Premium dental labs
  • $199 for each additional family member
new

Ready to Contact Us?

Our Associations

Arizona Dental Association (AzDA) Logo
American Dental Association (ADA) Logo
Academy of General Dentistry (AGD) Logo
International Congress of Oral Implantologists (ICOI) Logo

Privacy PolicySitemapCookie PolicyTerms of Use • Copyright Smile Science 2023

Scroll to Top
Verified by MonsterInsights